·
医院简介
·
主办单位:吉林省吉林中西医结合医院
吉ICP备14000575号
网站首页
医院概况
新闻动态
临床医疗
医生风采
临床护理
教学科研
党群工作
就医指南
人才招聘
耳鼻咽喉科
|
儿科
|
肛肠科
|
骨科
|
神经外科
|
妇产科
|
骨伤科
|
风湿科
|
康复科
|
肝胆脾胃病科(消化内镜中心)
|
脑病科
|
心血管内科
|
皮肤科
|
治未病中心
热门搜索:
腰椎间盘突出
糖尿病
风湿
类风湿
中西医结合
您当前的位置:吉林省吉林中西医结合医院 >>
最新医讯
联系方式
地址:吉林省吉林市船营区长春路9号
邮编:132012
电话:0432-65010533
0432-65010567
0432-65010666
信箱:jlzxyjhyyyzxx@163.com
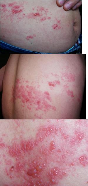
皮肤科中西医结合特色疗法系列报道——带状疱疹
阅读:144 发布时间:2016-05-09 13:17:02
皮肤科中西医结合特色疗法系列报道
带 状 疱 疹
永吉的王大爷最近左侧胸背部疼痛明显,本以为是心脏的问题,到医院检查后却显示一切正常,但疼痛却持续加重,没有缓解,夜间难以入睡。两天以后,王大爷左侧胸背部突然起了皮疹,在亲属的引荐下来到我院皮肤科找到了段秀峰主任,经诊断为“带状疱疹”。段主任给予中西医结合口服用药,并加用微波照射、中药外用等治疗方法。经过十天的治疗,皮疹基本消退,神经痛完全消失,王大爷握着段主任的手感慨的说:“这么短时间内就把我这病治好了,以后得了皮肤病啊,我哪也不去,就上这儿来!”
带状疱疹是皮肤科的常见病、多发病,因水痘带状疱疹病毒导致,其伴随的神经痛给患者带来极大的痛苦。十余年来我科治疗数万例带状疱疹的患者,根据多年反复的临床验证,皮肤科段秀峰主任带领全科医生总结出了一套行之有效的治疗带状疱疹的中西医结合特色疗法。西药抗病毒,中药扶正祛邪,同时开展多种辅助外治疗法,包括微波治疗、神灯照射治疗、红光照射治疗、窄谱UVB疗法、中药涂擦治疗等。使患者的疱疹消退、结痂、痊愈、疼痛时间均明显缩短,治愈率达到100%。
经过我们的中西医结合特色疗法治疗带状疱疹,无一例遗留神经痛者,无不良反应,并为患者减轻了极大的心理负担和经济负担,赢得了广大患者的一致好评!
附件:
点击此处下载附件
上一篇:
我院微创骨科成功应用踝关节镜技术 治疗踝关节骨性关节炎踝关节撞击症合并滑膜炎
下一篇:
针灸新技术——贴针灸
仪
器
设
备
光学相干断层扫描检查(OCT)(德国海德堡公司)
眼底血管造影检查仪(德国海德堡公司)
多波长眼底激光治疗仪(德国蔡司公司)
美国飞利浦超声诊断设备
皮肤科MORA生物物理治疗仪
皮肤科—掺钕钇铝石榴石激光
皮肤科—红蓝光治疗仪
皮肤科—光子嫩肤机
皮肤科—窄波UVB
泌尿外科——红激光治疗仪
经鼻胃镜EG-530
美国GE钼铑双靶乳腺照相机
医
院
环
境
首家体检中心
环境设备
医院环境一览
病房一角
医院环境
亲情服务
首页
|
医院概况
|
新闻动态
|
媒体报道
|
名医专家
|
医院环境
|
预约挂号
|
在线咨询
|
网站公约
版权所有·
吉林省吉林中西医结合医院
医院地址:吉林市长春路9号 邮 编:132000 网址:
www.jlzxyjh.com
联系电话:0432-65010567、0432-65010533
注:本站信息仅供参考,不能作为诊断和医疗的依据问题。
吉ICP备14000575号
吉市卫网审【2013】001