·
医院简介
·
主办单位:吉林省吉林中西医结合医院
吉ICP备14000575号
网站首页
医院概况
新闻动态
临床医疗
医生风采
临床护理
教学科研
党群工作
就医指南
人才招聘
耳鼻咽喉科
|
儿科
|
肛肠科
|
骨科
|
神经外科
|
妇产科
|
骨伤科
|
风湿科
|
康复科
|
肝胆脾胃病科(消化内镜中心)
|
脑病科
|
心血管内科
|
皮肤科
|
治未病中心
热门搜索:
腰椎间盘突出
糖尿病
风湿
类风湿
中西医结合
您当前的位置:吉林省吉林中西医结合医院 >>
最新医讯
联系方式
地址:吉林省吉林市船营区长春路9号
邮编:132012
电话:0432-65010533
0432-65010567
0432-65010666
信箱:jlzxyjhyyyzxx@163.com
微创骨科采用经皮椎体成形术治愈了89岁老奶奶腰椎骨折(微创骨科:任杰)
阅读:220 发布时间:2016-03-29 15:19:44
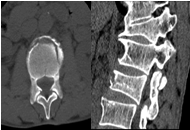
刘奶奶,89岁,因上厕所摔伤腰痛,翻身困难,不敢坐起和下地行走,疼痛难忍4天,卧床没有好转,来我院微创骨科就诊,经检查腰椎3压痛、叩痛,拍x光片和核磁确诊腰椎3骨折。因骨质增生腰椎麻醉困难,微创骨科任杰主任应 用最先进的微创技术采用局麻下行椎体成形术,术后老人家就感觉疼痛马上减轻了,儿孙都非常高兴,老人不用卧床了,可以下地行走自己上厕所、坐着吃饭。避免了保守治疗需卧床3个月引起的并发症:坠积性肺炎、褥疮、下肢静脉血栓、严重骨质疏松、泌尿系感染和结石等,甚至危及生命。家人感激不尽,老人不用卧床遭罪了,减轻了家人护理负担,不用耽误工作,保证老人正常生活质量,延长了寿命。
随着老龄化社会的到来,骨质疏松性骨折发病率逐年增加。近年来针对骨质疏松性椎体骨折因不能采取有效内固定,而采用了椎体成形术。微创手术—经皮椎体成形术(PercutaneousVertebroplasty,PVP)是指经皮通过椎弓根或椎弓根外向椎体内注入骨水泥以达到增加椎体强度和稳定性,防止塌陷,缓解疼痛,甚至部分恢复椎体高度为目的一种微创脊椎外科技术。
一、适应症:
1、 疼痛的骨质疏松性椎体压缩骨折,经药物治疗无效。
2、 由各种良恶性肿瘤(如血管瘤,骨髓瘤,转移瘤)引起的疼痛性椎体骨折或骨溶解。
3、 与骨坏死相关的疼痛性椎体骨折。
4、 不稳定的压缩性骨折。
5、 多发性的骨质疏松性椎体压缩骨折导致后凸畸形并引起肺功能、胃肠道功能的影响和重心改变。
6、 慢性创伤性骨折伴有骨折不愈合或内部囊肿改变。
二、优点:
1、通常使用局麻,很少需要全麻。
2、手术时间短,操作不复杂,手术并发症少。
3、 经皮椎体成形术临床效果满意,患者在术后当天即有不同程度的疼痛减轻,即可下地行走。
4、患者的各项功能也得到改善并减少了止痛药物的使用。
5、早期恢复正常的生活,减少了卧床并发症的发生。
术前
术后
希望广大患者前来微创骨科就医。微创骨科专家热线联系电话: 18904327357
附件:
点击此处下载附件
点击此处下载附件
点击此处下载附件
上一篇:
甲状腺结节无痕治疗 微波消融来助力(电诊科:郑志明)
下一篇:
内分泌科最新引进自动糖化血红蛋白分析仪(内分泌科:陈静)
仪
器
设
备
光学相干断层扫描检查(OCT)(德国海德堡公司)
眼底血管造影检查仪(德国海德堡公司)
多波长眼底激光治疗仪(德国蔡司公司)
美国飞利浦超声诊断设备
皮肤科MORA生物物理治疗仪
皮肤科—掺钕钇铝石榴石激光
皮肤科—红蓝光治疗仪
皮肤科—光子嫩肤机
皮肤科—窄波UVB
泌尿外科——红激光治疗仪
经鼻胃镜EG-530
美国GE钼铑双靶乳腺照相机
医
院
环
境
首家体检中心
环境设备
医院环境一览
病房一角
医院环境
亲情服务
首页
|
医院概况
|
新闻动态
|
媒体报道
|
名医专家
|
医院环境
|
预约挂号
|
在线咨询
|
网站公约
版权所有·
吉林省吉林中西医结合医院
医院地址:吉林市长春路9号 邮 编:132000 网址:
www.jlzxyjh.com
联系电话:0432-65010567、0432-65010533
注:本站信息仅供参考,不能作为诊断和医疗的依据问题。
吉ICP备14000575号
吉市卫网审【2013】001