·
医院简介
·
主办单位:吉林省吉林中西医结合医院
吉ICP备14000575号
网站首页
医院概况
新闻动态
临床医疗
医生风采
临床护理
教学科研
党群工作
就医指南
人才招聘
耳鼻咽喉科
|
儿科
|
肛肠科
|
骨科
|
神经外科
|
妇产科
|
骨伤科
|
风湿科
|
康复科
|
肝胆脾胃病科(消化内镜中心)
|
脑病科
|
心血管内科
|
皮肤科
|
治未病中心
热门搜索:
腰椎间盘突出
糖尿病
风湿
类风湿
中西医结合
您当前的位置:吉林省吉林中西医结合医院 >>
健康教育
联系方式
地址:吉林省吉林市船营区长春路9号
邮编:132012
电话:0432-65010533
0432-65010567
0432-65010666
信箱:jlzxyjhyyyzxx@163.com
骨折术后再发骨折的手术治疗(骨科:刘菲)
阅读:382 发布时间:2016-01-29 08:17:55
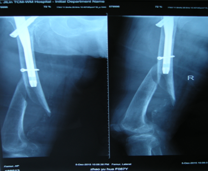
骨折术后再发骨折就是指在骨折手术的同一部位或周围再次出现的骨折。与单纯骨折不同,由于骨折已经经过固定,有内固定物的存在,骨折未愈合前,再次受到外力作用,导致二次骨折或内固定物周围骨折。
由于初次骨折未形成骨性愈合,内固定物不能拆除,而再次骨折的部位亦需要手术治疗,造成两难的处境,手术难度很高。
患者老年女性,74岁,二次入院前5个月因外伤致右髋部疼痛,关节活动受限,拍片提示右股骨转子间粉碎性骨折,而入院行手术治疗,术后恢复良好。二次入院时因在家中洗澡时摔伤,拍片提示股骨干骨折,骨折部位位于内固定物远端。
明确诊断后,经过全科医生的术前讨论,详细制定了手术方案,再次给予手术治疗,将原有内固定物取出,换加长型PFNA,并用锁定钢板给予坚强固定,手术用时3小时,顺利完成。
术后常规治疗,由于坚强固定,术后早期功能练习,未出现明显并发症,恢复良好,患者及家属对于治疗效果很满意。
附件:
点击此处下载附件
点击此处下载附件
上一篇:
妊娠期糖尿病饮食控制是关键(妇产科:邢平)
下一篇:
尿路结石应多吃哪些食物(皮肤科:曲萍)
仪
器
设
备
光学相干断层扫描检查(OCT)(德国海德堡公司)
眼底血管造影检查仪(德国海德堡公司)
多波长眼底激光治疗仪(德国蔡司公司)
美国飞利浦超声诊断设备
皮肤科MORA生物物理治疗仪
皮肤科—掺钕钇铝石榴石激光
皮肤科—红蓝光治疗仪
皮肤科—光子嫩肤机
皮肤科—窄波UVB
泌尿外科——红激光治疗仪
经鼻胃镜EG-530
美国GE钼铑双靶乳腺照相机
医
院
环
境
首家体检中心
环境设备
医院环境一览
病房一角
医院环境
亲情服务
首页
|
医院概况
|
新闻动态
|
媒体报道
|
名医专家
|
医院环境
|
预约挂号
|
在线咨询
|
网站公约
版权所有·
吉林省吉林中西医结合医院
医院地址:吉林市长春路9号 邮 编:132000 网址:
www.jlzxyjh.com
联系电话:0432-65010567、0432-65010533
注:本站信息仅供参考,不能作为诊断和医疗的依据问题。
吉ICP备14000575号
吉市卫网审【2013】001