·
医院简介
·
主办单位:吉林省吉林中西医结合医院
吉ICP备14000575号
网站首页
医院概况
新闻动态
临床医疗
医生风采
临床护理
教学科研
党群工作
就医指南
人才招聘
耳鼻咽喉科
|
儿科
|
肛肠科
|
骨科
|
神经外科
|
妇产科
|
骨伤科
|
风湿科
|
康复科
|
肝胆脾胃病科(消化内镜中心)
|
脑病科
|
心血管内科
|
皮肤科
|
治未病中心
热门搜索:
腰椎间盘突出
糖尿病
风湿
类风湿
中西医结合
您当前的位置:吉林省吉林中西医结合医院 >>
健康教育
联系方式
地址:吉林省吉林市船营区长春路9号
邮编:132012
电话:0432-65010533
0432-65010567
0432-65010666
信箱:jlzxyjhyyyzxx@163.com
膝关节半月板损伤
阅读:257 发布时间:2015-10-28 13:47:35
半月板是2个月牙形的纤维
软骨
,位于
胫骨
平台内侧和外侧的关节面。其横断面呈三角形,外厚内薄,上面稍呈凹形,以便与
股骨
髁相吻合,下面为平的,与胫骨平台相接。这样的结构恰好使股骨髁在胫骨平台上形成一较深的凹陷,从而使球形的股骨髁与胫骨平台的稳定性增加。 半月板的前后端分别附着在胫骨平台中间部非
关节面
的
部位
,在髁间棘前方和后方。这个部位又可称做半月板的前角和后角。
半月板损伤是一种以膝关节局限性疼痛,部分患者有打软腿或膝关节交锁现象,膝关节间隙固定的局限性压痛为主要表现的疾病。
半月板损伤
多由扭转外力引起,部位可发生在半月板的前角、后角、中部或边缘部。损伤的形状可为横裂、纵裂、水平裂或不规则形,甚至破碎成关节内游离体。
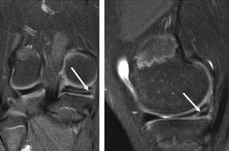
患者多数有明显外伤史。急性期膝关节有明显疼痛、肿胀和积液,关节屈伸活动障碍。急性期过后,肿胀和积液可自行消退,但活动时关节仍有疼痛,尤以上下楼、上下坡、下蹲起立、跑、跳等动作时疼痛更明显,严重者可跛行或屈伸功能障碍,部分病人有交锁现象,或在膝关节屈伸时有弹响。膝关节间隙处的压痛是半月板损伤的重要依据,膝关节MRI检查有重要意义。
近些年,关节镜技术的发展及治疗日新月异,非常适用于半月板损伤的治疗,半月板边缘撕裂可行缝合修复,通常进行半月板部分切除,保留未损伤的部分。对早期怀疑半月板损伤者可行急诊关节镜检查,早期处理半月板损伤,缩短疗程,提高治疗效果,减少损伤性
关节炎
的发生。通过关节镜手术创伤小,恢复快,为现在半月板损伤的首选治疗方法。
附件:
点击此处下载附件
点击此处下载附件
点击此处下载附件
点击此处下载附件
点击此处下载附件
上一篇:
人工全髋关节置换术
下一篇:
急性胰腺炎症状及预防(消化科;韩鹏)
仪
器
设
备
光学相干断层扫描检查(OCT)(德国海德堡公司)
眼底血管造影检查仪(德国海德堡公司)
多波长眼底激光治疗仪(德国蔡司公司)
美国飞利浦超声诊断设备
皮肤科MORA生物物理治疗仪
皮肤科—掺钕钇铝石榴石激光
皮肤科—红蓝光治疗仪
皮肤科—光子嫩肤机
皮肤科—窄波UVB
泌尿外科——红激光治疗仪
经鼻胃镜EG-530
美国GE钼铑双靶乳腺照相机
医
院
环
境
首家体检中心
环境设备
医院环境一览
病房一角
医院环境
亲情服务
首页
|
医院概况
|
新闻动态
|
媒体报道
|
名医专家
|
医院环境
|
预约挂号
|
在线咨询
|
网站公约
版权所有·
吉林省吉林中西医结合医院
医院地址:吉林市长春路9号 邮 编:132000 网址:
www.jlzxyjh.com
联系电话:0432-65010567、0432-65010533
注:本站信息仅供参考,不能作为诊断和医疗的依据问题。
吉ICP备14000575号
吉市卫网审【2013】001