·
医院简介
·
主办单位:吉林省吉林中西医结合医院
吉ICP备14000575号
网站首页
医院概况
新闻动态
临床医疗
医生风采
临床护理
教学科研
党群工作
就医指南
人才招聘
耳鼻咽喉科
|
儿科
|
肛肠科
|
骨科
|
神经外科
|
妇产科
|
骨伤科
|
风湿科
|
康复科
|
肝胆脾胃病科(消化内镜中心)
|
脑病科
|
心血管内科
|
皮肤科
|
治未病中心
热门搜索:
腰椎间盘突出
糖尿病
风湿
类风湿
中西医结合
您当前的位置:吉林省吉林中西医结合医院 >>
新技术新装备
联系方式
地址:吉林省吉林市船营区长春路9号
邮编:132012
电话:0432-65010533
0432-65010567
0432-65010666
信箱:jlzxyjhyyyzxx@163.com
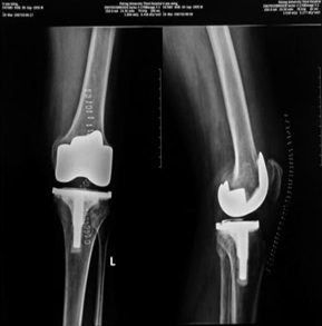
人工全膝关节置换术
阅读:441 发布时间:2015-10-28 13:55:07
人工全膝关节置换术是在近代人工全髋关节成功应用于病人后,逐渐发展起来的一种治疗膝关节疾病的新技术,它能非常有效的根除晚期膝关节的疼痛,极大地提高病人的生活质量,在发达国家比较流行,根据美国HSS评分标准,手术优良率高达93.75%,术后在疼痛、关节功能及活动度等方面均有明显改善。
手术的目标是解除关节疼痛、改善关节功能、纠正关节畸形和获得长期稳定。主要适应证包括:
1、退变性膝关节骨关节炎
2、类风湿性关节炎和强直性脊柱炎的膝关节晚期病变
3、其他非感染性关节炎引起的膝关节病损并伴有疼痛和功能障碍
4、创伤性骨关节炎
5、大面积的膝关节骨软骨坏死或其它病变不能通过常规手术方法修复的病例
6、涉及膝关节面的肿瘤切除后无法获得良好的关节功能重建
全膝关节置换术是20世纪骨科发展史上的里程碑。美国总人口约4亿,每年实施的全膝关节置换术达20万例,我国人口14亿,每年只有不到2万例。究其原因,除了经济条件的差距,主要是科普知识的不普及,对于身体健康重视程度的不足,以及手术时思想负担过重等原因。相信随着生活水平的提高,伴随着对身体的重视,我们国人将逐渐接受这个手术。
现如今在我国发达城市,已经有越来越多的人进行全膝关节置换手术治疗,仅北京每年就有6000例左右,人工全膝关节置换术的发展已有赶超人工髋关节置换术的趋势。
我院已经开展了此项技术的应用,并在近几年内成功完成多例手术,术后均取得了良好的效果,随访的患者均得到了满意的疗效。由此结论,人工全膝关节置换术是现今治疗重度膝关节疾病的切实有效的方法。
附件:
点击此处下载附件
点击此处下载附件
点击此处下载附件
上一篇:
吉林中西医结合医院引进新仪器可检测母乳营养是否均衡
下一篇:
垂体瘤的新术式(神经外科:任洪亮)
仪
器
设
备
光学相干断层扫描检查(OCT)(德国海德堡公司)
眼底血管造影检查仪(德国海德堡公司)
多波长眼底激光治疗仪(德国蔡司公司)
美国飞利浦超声诊断设备
皮肤科MORA生物物理治疗仪
皮肤科—掺钕钇铝石榴石激光
皮肤科—红蓝光治疗仪
皮肤科—光子嫩肤机
皮肤科—窄波UVB
泌尿外科——红激光治疗仪
经鼻胃镜EG-530
美国GE钼铑双靶乳腺照相机
医
院
环
境
首家体检中心
环境设备
医院环境一览
病房一角
医院环境
亲情服务
首页
|
医院概况
|
新闻动态
|
媒体报道
|
名医专家
|
医院环境
|
预约挂号
|
在线咨询
|
网站公约
版权所有·
吉林省吉林中西医结合医院
医院地址:吉林市长春路9号 邮 编:132000 网址:
www.jlzxyjh.com
联系电话:0432-65010567、0432-65010533
注:本站信息仅供参考,不能作为诊断和医疗的依据问题。
吉ICP备14000575号
吉市卫网审【2013】001