
阅读:293 发布时间:2014-01-18 08:58:00
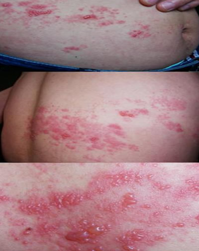
带状疱疹,中医称为蛇串疮,又名缠腰火丹。是由水痘——带状疱疹病毒感染引起的一种以沿周围神经分布的群集疱疹和神经痛为特征的病毒性皮肤病。
中医认为带状疱疹由肝火郁结,脾湿内蕴而致,故治疗上在利用西药对抗水痘—带状疱疹病毒的同时,我们根据每个患者的证候进行辨证论治,将带状疱疹分为三型:肝胆实热型;湿热蕴结型;气滞血瘀型。根据不同的证型采用不同的中药口服。同时我们还开展了多种外治疗法,微波治疗、神灯照射治疗、中药薰药治疗、拔罐疗法、中药涂擦治疗等方式。
带状疱疹患者多有情志不遂,饮食失调。故应减轻患者精神负担,保持心情愉快,避免生气,暴怒,情志安定。并嘱患者保持病室内通风良好。保持床铺整洁,衣被柔软,避免摩擦。如有渗出液及软膏污染衣服,应及时更换。饮食起居规律,多加休息。饮食宜多吃水果、蔬菜、忌食辛辣,鱼腥等发物及肥甘厚味动火之食。
根据多年来反复的临床验证,我们总结出了一套行之有效的针对带状疱疹的中西医结合特色疗法,使患者的疱疹消退、结痂、痊愈、疼痛时间均明显缩短,无一例遗留神经痛者,无不良反应,并为患者减轻了极大的心理负担和经济负担,赢得了广大患者的一致好评!

